Dental Clinic providing dental implants, orthodontics and general dentistry
+603-20940005
Home
About Us
Our Team
Dr Yap Boon Kah
Dr Tan Sang Chuin
Dr Kok Tuck Choon
Our Staff
Our Practice…
Services
General Dentistry
Scaling & Polishing
Tooth Colored Fillings
Children’s Dentistry
Root Canal Treatment
Dental 3D Diagnostic Imaging,CBCT
Wisdom Tooth Surgery
Cosmetic Dentistry
E max Crowns
Porcelain Veneers
Dental Implants
Orthodontics
Philips Zoom Teeth Whitening
Invisalign
More
Traumatic Injuries
Bruxism
Anti -Snoring & Sleep Apnoea
TMJ Disorders
Photo Gallery
Links
Contact Us
Consultation Hours
Map
Careers
Dental Tourism
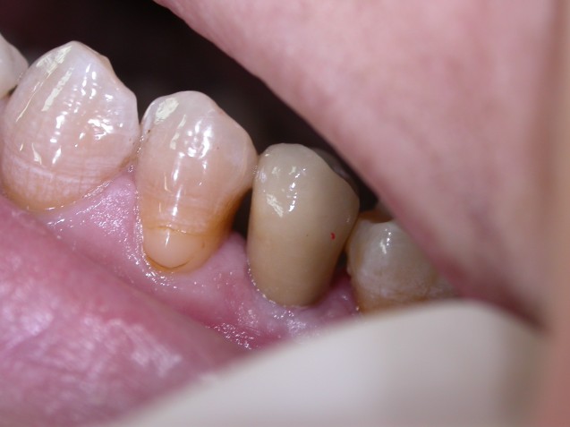
Our
Gallery
Implant premolar #1.3